
The medical system expects you to chase 33 different screening appointments across multiple specialists and check your organs one at a time. But there’s a smarter way that scans your entire body in under an hour to catch cancer, aneurysms, fatty liver, and other serious health issues before they become life-threatening.
In today’s episode, I sit down with Dr. Daniel Durand, Chief Medical Officer of Prenuvo, to talk about the real-world power (and limitations) of proactive whole-body MRI screening.
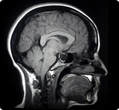
Dr. Durand walks us through how this advanced screening method detects over 500 conditions, many of which traditional screenings miss. We talk about the importance of early detection for cancers and neurodegenerative diseases, and how this proactive approach to health can save lives.
Dr. Daniel Durand
Heavy metal toxicity is often behind digestive issues, systemic infections, stubborn weight gain, brain fog, autoimmune disease, and chronic health conditions.
Dr. Daniel Durand is a dual board-certified adult & pediatric radiologist and Chief Medical Officer at Prenuvo, where he leads clinical operations, research, and the medical group for the world’s largest network of proactive whole-body MRI clinics. Previously, he served as Chief Clinical Officer & Chief Innovation Officer at LifeBridge Health and held leadership roles in accountable care at Johns Hopkins. He is passionate about empowering primary care and shifting medicine toward true prevention through advanced imaging.
Learn more about Dr. Daniel’s work at prenuvo.com

The world’s largest network of clinics dedicated exclusively to proactive, radiation-free whole-body MRI screening. Detects hundreds of conditions, including early cancers, aneurysms, and organ abnormalities, in a single comfortable visit.

Science-backed eyewear that protects your circadian rhythm by blocking the specific spectrums of light that suppress melatonin and spike cortisol at night. These come in prescription options and are essential for deep restorative sleep in our modern digital world.

Tasty lemon gummies formulated with saffron, ginger, and passionflower to naturally boost serotonin levels and combat stress without negative side effects. They are perfect for turning around a bad mood or helping you unwind before bed for better sleep quality.

A potent blend of five collagen types from four distinct sources to support joint health, skin elasticity, and gut lining repair as you age. This product is rigorously tested for glyphosate and heavy metals to ensure you aren’t adding toxins while trying to heal.

Swiss-engineered ceramic cookware that is completely free of Teflon, PFAS, and plastic coatings that shed into food. Upgrading your pans is one of the most impactful ways to reduce your daily intake of endocrine-disrupting chemicals and microplastics.
Dr. Wendy Myers, ND is a Naturopathic doctor and founder of Myersdetox.com. She is an internationally recognized expert on heavy metal detox, anti-aging and bioenergetics.
She is a sought-after speaker, #1 bestselling author and the host of the top 50 rated podcast, the Myers Detox Podcast. Her mission is to educate and inspire the globe about topics related to anti-aging – detoxing from our increasingly toxic world to combat disease and increase longevity.
I’ve always wanted to do a hair mineral analysis and when I met Wendy I knew it was time. Once the results came back identifying some heavy metal toxicities I was not only grateful for this info but was also very impressed with Wendy’s knowledge